I missed New Habit Monday
Of course, for awhile now it hasn’t really been “new” habit Monday — it’s been a rehash of habits from the days of yore. This week it’s all about being smart with carb intake — …
Of course, for awhile now it hasn’t really been “new” habit Monday — it’s been a rehash of habits from the days of yore. This week it’s all about being smart with carb intake — …
Is there anything more to say that I haven’t already talked about this week? I really don’t think so.I’ve started studying for my third and final certification exam. My goal this week is to do …
Things are on an upturn: I passed my second exam (with a lot more breathing room than I gave myself with the first one) and the water in my basement has dried up. The dogs …
Well, after the record 68″ of snow the area has seen this winter (average is under 30″), it’s finally starting to warm up just a bit. I can’t tell you how much I’ve been looking …
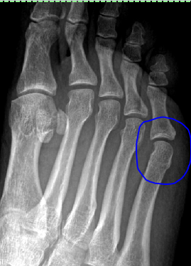
Stress fracture, bone abnormalityor just all in my head? Saw the foot doctor today to get the X-rays read, and like Google had already told me — if there’s a stress fracture, it’s not readily …
So.Um, yea. It’s been awhile, hasn’t it?No good excuses, though I’ve been struggling (and losing) to keep forward momentum going. About 2 weeks ago, I finally made an appointment with a doctor to see about …
My class is over, but I have to admit — I probably spent too much time “recovering” (meaning, not working out, not posting here, not doing anything productive). But – I’m back! Aren’t you happy?I’m …